Growing up I had never had any issues with my health, the only things really worth mentioning was a peanut allergy, and an appendectomy on the first day of school in 7th grade. I played sports all my life, soccer and baseball at a young age, even joining the rowing club during my freshman year at college. In school, I was always able to do pretty well, and I graduated as high school valedictorian in 2017.

But starting around my senior year, I started noticing some minor issues with my memory. Initially, it was just little things like when I shampooed my hair in the shower, I would forget whether I had already done it or not a few seconds later. I also started to have other issues where I would lose my train of thought when speaking and could not remember what I was talking about, or take longer to finish tests than I used to. I didn’t think much of it at the time, chalking it up as senioritis, and would jokingly wonder if I maybe got a concussion during soccer that I didn’t know about.
During college, I still did well, although there was a slight decline. I would have to spend more time trying to memorize than I used to, struggled during speaking presentations, and just didn’t feel quite right. That being said, there was also a whole lot going on both in my life and the world. I was working 40+ hours a week at Lowes in addition to going to school full-time and living on my own, plus a worldwide pandemic my junior year, so it wasn’t clear that anything out of the ordinary was wrong.
But that all changed by the time I reached my senior year at BU. There was a very sharp change even from the start of that semester to a couple of months in. I noticed I was having a lot of difficulty trying to write essays, and I started needing to take really detailed notes in class because I couldn’t retain the information. I had also been getting increasingly irritable and angry, less empathetic, and it was getting harder to go out in public or even get groceries without someone with me. At work, I had zero desire to talk to anyone, couldn’t think of anything to say, and mostly kept to myself.
When the semester ended, so did my job at the vaccine center and I suddenly had nothing to do. My plan was to start researching policy and local races, but every time I tried I found that I couldn’t think beyond the initial thought that I had. It felt like my brain was blocking the information from traveling any further, and shutting down the thought every time I tried to do something. I had no desire to do anything, and abstract thoughts just seemed to hit a brick wall.
Days turned into weeks, and weeks to months. The worst part during this was that my emotions had gotten so numb that I couldn’t feel anything anymore. I got joy from nothing, I was incapable of crying, the only thing I really experienced was excessive anger triggered by uncharacteristic impatience. I assumed whatever was wrong was psychological, likely depression.
It took me weeks and immense effort to fight against all those problems and finally see a psychologist. After several weeks seeing her, she noticed that I lost track of what I was saying more than anyone she had worked with before. During one session, it got so bad that it felt like I didn’t know how to form thoughts, and I couldn’t get any words out. She referred me to a neurologist after that.
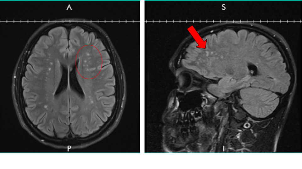
After weeks of trying to get an appointment, I finally saw the doctor and he ordered a bunch of tests including an EEG and an MRI. The EEG was normal. The MRI was not. The MRI revealed that I had lesions on my brain. A lot of them. I had more tests after that including a spinal tap to check for MS but nothing that revealed anything specific. The neuro gave up and said he couldn’t help me so I found a couple more, which took months to schedule.
During that time my symptoms continued to worsen and new ones developed. I had more problems speaking, including sometimes stuttering and slurring my words. My memory had also declined immensely. Every time I entered a room I forgot what I was going to do. I couldn’t hold any more than 3 items in my mind when cooking before forgetting, sometimes not even that. Anti-depressant medication had helped with mood and empathy, and gotten me to the point where I could work part-time, but it still felt very faded from what it should. A neuropsychological exam showed that I had severe deficiencies in working memory and processing speed, amongst other things. By April of 2022, I also had developed a never-ending fatigue that forced me to lay down and rest before going to work every day.

By winter of 2022, after seeing nearly a dozen neurologists and having countless tests done, I was referred to Upstate Medical in Syracuse where I finally started receiving treatment for a suspected vasculitis-related disease. I started with high doses of prednisolone which brought about some improvement. It felt like for the first time some holes were poking through the brain fog and I could think a little more clearly. A couple months after that I started on high doses of prednisone (80 mg) which wasโฆlife-changing.
I felt better than I had in years. After a few months, I could think and feel and imagine again. My memory was back and the brain fog was significantly reduced. I still struggled with fatigue at times but the improvement to my cognition was incredible.
But prednisone unfortunately has severe side effects. Aside from weight gain and water retention, which was tough to deal with mentally, long-term use causes damage to your organs and cannot be used indefinitely. I was able to taper off it relatively quickly toward the end of summer 2023 and was switched to the chemotherapy drug methotrexate. Even at low doses, this medication is no fun, and I’ve experienced a loss of appetite, fatigue, joint pain, and hair loss as a result. It’s a necessary sacrifice though and a significant improvement from the alternative.
Finally, in October, it looks like we may have finally found the answer to my symptoms. A genetic test revealed a mutation to the COL4A1 gene which produces collagen in the brain. In other words, due to a genetic mutation, my small blood vessels (especially in the brain) are fragile and can break easily. Which means certain areas of my brain weren’t getting enough blood and the cells died, which is what the white spots on the MRI showed and why I had the symptoms I was experiencing. There is no cure, and it’s something that I’m going to have to treat and monitor for the rest of my life.
Going through all this has given me a deeper sense of empathy and perspective on life. Having to navigate everything I did on my own with important areas of my brain barely working was difficult beyond words. I had to develop new systems to live my life to get around the various deficiencies. What was really eye-opening to me was the difference between how easy everything was before I started experiencing symptoms to how much of a challenge just doing basic tasks was when I was in the thick of it. I think back on people going through school while battling disorders with similar or shared symptoms like ADHD or dyslexia and things of that nature, and it is astounding how hard you have to work just to keep up with a system that was not designed with you in mind. And then to be called lazy or have your work ethic impugned by someone who has no idea what you’re going through has to be so incredibly frustrating. That’s really what I mean by a deeper sense of empathy. It’s not the practice of being sensitive to the experience of others, it’s the innate awareness I now have from having lived through completely different experiences.
Symptoms
I went through hell to get to where I am now, and every single day was a challenge. The following is a list of the symptoms I experienced, to give a sense of what I was dealing with:
(Through various stages of my illness)
- Working memory loss
- Losing train of thought
- Word-finding issues
- Difficulty planning
- Loss of empathy
- Loss of imagination
- Emotional numbness
- Loss of joy
- Paranoia
- Trouble with navigating and directions
- Inability to build momentum mentally
- Intense fatigue
- Loss of patience
- Extreme irritability
- Difficulty starting new tasks
- Auditory comprehension delay
- Slurred speech, stuttering
- Reduced processing speed
- Increased aggression
- Disorientation
- Intense brain fog
- Excess saliva
- Difficulty swallowing
- Physically difficult to speak
- Abdominal bloating
- Raynaud’s
- Fat malabsorption
- Chilblains
- Presyncope when standing
- Issues with body temperature regulation
- Loss of grip strength, hand swelling
- White matter hyperintensities
- L2, L3 transverse process fracture of unknown cause
- Chronic sinus issues
(From Prednisone)
- Water retention
- Weight gain
- Difficulty losing weight
- Bone and joint pain and aches
- Puffy, swollen face
- Minor acne, skin issues
- Intestinal discomfort
- Extreme morning fatigue
- Fluctuating energy levels
- Increased body hair
- Exhaustion around eyes
(From Methotrexate)
- Nausea and sometimes vomiting the day after taking
- Intense fatigue, feeling wiped out
- Increased sun sensitivity, sunburns
- Increased brain fog
- Loss of appetite
- Significant hair loss at higher dose
- Body pain and soreness